Lina Flórez se perderá los Juegos Olímpicos

La atleta sufrió fractura del quinto metatarso

Última actualización: jueves, agosto 11 de 2016
Fractura-3.jpeg

Una baja sensible registró Colombia esta semana con la lesión de la atleta Lina Flórez, quien sufrió un infortunio durante una sesión de entrenamiento el pasado lunes, previo a su participación en los Juegos Olímpicos Rio 2016.

Autoría: Equipo de prensa Comité Olímpico Colombiano y Coldeportes

Ella misma confirmó la noticia en redes sociales. En su cuenta de Facebook, la colombiana escribió: "Hola familia, amigos. Antier en un entrenamiento tuve un golpe con una valla y desafortunadamente tuve una fractura en la falange cinco del metatarsiano, lo cual no me permitirá correr en los Juegos Olímpicos. Ahora comienza mi proceso de recuperación con la ayuda de Dios. Será duro pero espero tener la suficiente fuerza de voluntad para lograrlo. Gracias por el apoyo incondicional de todos, espero regresar lo más pronto de nuevo a las pistas".


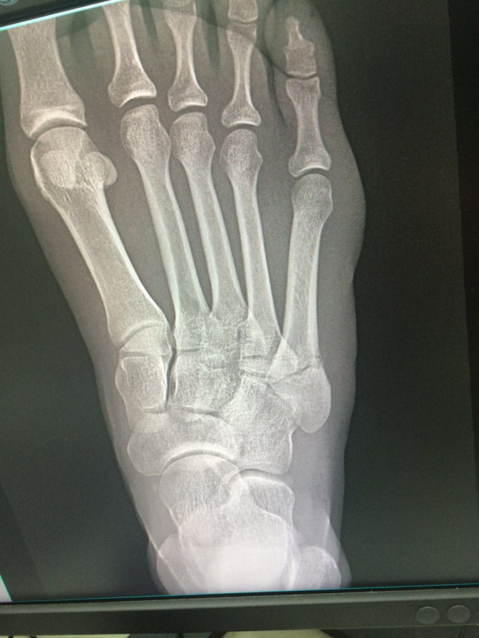
De inmediato, el servicio médico de Coldeportes en Rio se hizo presente para valorar a la atleta y emitir el diagnóstico oficial, donde se recomienda la no participación en las máximas justas.

"Valoramos a Lina Flórez de atletismo por un trauma en su pie derecho ocasionado saltando una valla. Presenta clínicamente dolor al palpar la base del quinto metatarsiano. Incapacidad para el apoyo por dolor. Le tomamos rayos x que confirman el diagnóstico de fractura de quinto metatarso", confirmó Juan Carlos Quiceno, coordinador médico de la delegación colombiana en Rio.

El galeno agregó que "dada la imagen de la radiografía y la actividad de la atleta, consideramos que no debe competir y que se debe hacer cirugía con fijación temprana de la fractura, probablemente con un tornillo percutáneo, para favorecer la rehabilitación más rápida y el retorno más pronto al entrenamiento".

Documentos anexos

    Lina.jpg
    Fractura-1.jpeg
WhatsApp
Volver
arriba